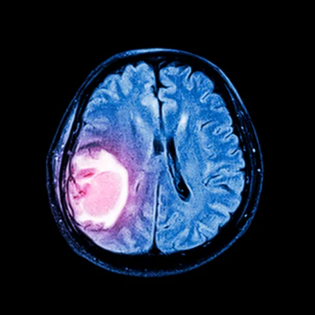
Tumores Cerebrales

Tipos: Los tumores cerebrales, no se clasifican necesariamente como benignos o malignos, sino que dependen por completo de su localización y comportamiento. Es importante una valoración completa para determinar tratamiento y pronóstico.
Causas: No siempre son claras. Pueden influir factores genéticos, exposición a radiación, mutaciones celulares, antecedentes familiares o enfermedades hereditarias. Algunos tumores aparecen sin causa identificable.
Diagnóstico: Incluye resonancia magnética (RM), tomografía (TAC), estudios neurológicos y, en muchos casos, biopsia para confirmar el tipo y grado del tumor.
Tratamiento: Depende del tipo, tamaño y ubicación. Puede incluir cirugía para extirpar el tumor, radioterapia, quimioterapia o terapias dirigidas. La cirugía busca reducir el tamaño tumoral y aliviar síntomas.
FAQs:
- ¿Todos los tumores cerebrales son cancerosos? No, dependen de la localización y el tipo de tumor. TAMBIÉN VERDE
- ¿Siempre se pueden operar? No, depende de la ubicación y riesgos.
- ¿Qué síntomas causan los tumores cerebrales? Dolor de cabeza, convulsiones, cambios de conducta o visión.
- ¿Cuál es el pronóstico? Varía según el tipo de tumor, el grado y la respuesta al tratamiento.