Hidrocefalia no comunicante

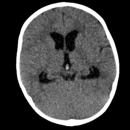
Tipos: La hidrocefalia no comunicante (u obstructiva) ocurre cuando hay un bloqueo en el flujo del líquido cefalorraquídeo (LCR) dentro del sistema ventricular, impidiendo su circulación normal. Puede ser aguda o crónica y afectar uno o varios ventrículos.
Causas: Se debe a obstrucciones como tumores cerebrales, quistes, malformaciones congénitas (como estenosis del acueducto de Silvio), coágulos por hemorragias, infecciones o inflamación que bloquean el paso del LCR.
Diagnóstico: Se realiza mediante evaluación clínica y estudios de imagen como tomografía computarizada (TAC) y resonancia magnética (RM), que permiten identificar la dilatación ventricular y el sitio de obstrucción. También se evalúan signos de presión intracraneal elevada.
Tratamiento: El manejo es principalmente quirúrgico. Se puede colocar una derivación ventriculoperitoneal para drenar el LCR o realizar una ventriculostomía endoscópica para crear una nueva vía de circulación del líquido. El tratamiento de la causa subyacente también es importante.
FAQs:
- ¿Qué la diferencia de la comunicante? En este caso hay una obstrucción en el flujo del LCR.
- ¿Es urgente tratarla? Sí, puede causar daño cerebral si no se trata.
- ¿Qué síntomas presenta? Dolor de cabeza, vómito, somnolencia o aumento del tamaño de la cabeza en niños.
- ¿Tiene cura? Se controla con cirugía, pero requiere seguimiento médico continuo.