Hidrocefalia de presión normal

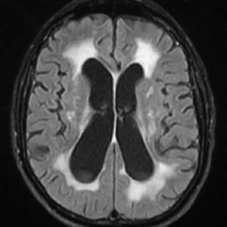
Tipos: La hidrocefalia de presión normal (HPN) es un tipo de hidrocefalia comunicante que se caracteriza por presentar los signos y síntomas clásicos de hidrocefalia pero con una tomografía relativamente normal. Suele presentarse en adultos mayores.
Causas: Puede ser idiopática (sin causa clara) o secundaria a hemorragias subaracnoideas, meningitis, traumatismos craneoencefálicos o cirugías previas. Se asocia con alteraciones en la absorción del líquido cefalorraquídeo.
Diagnóstico: Se basa en la triada clásica: alteración de la marcha (marcha magnética), deterioro cognitivo, e incontinencia urinaria. Se confirma pruebas como la punción lumbar para evaluar respuesta al drenaje de LCR.
Tratamiento: El manejo principal es la colocación de una derivación ventriculoperitoneal para drenar el exceso de LCR. En algunos casos se realiza ventriculostomía endoscópica. La rehabilitación y el seguimiento neurológico son importantes para mejorar los síntomas.
FAQs:
- ¿Es una enfermedad común en adultos mayores? Sí, especialmente en personas de edad avanzada.
- ¿Se puede confundir con demencia la hidrocefalia normotensa? Sí, por el deterioro cognitivo.
- ¿Tiene tratamiento? Sí, con cirugía de derivación del LCR.
- ¿Mejora la marcha? Sí, suele ser uno de los síntomas que más mejora tras el tratamiento.