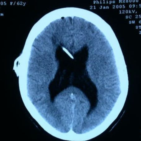
Hidrocefalia comunicante

Tipos: La hidrocefalia comunicante es un tipo de hidrocefalia en la que el flujo del líquido cefalorraquídeo (LCR) no está bloqueado dentro de los ventrículos, pero existe un problema en su absorción o un exceso de producción. Puede ser aguda o crónica.
Causas: Se produce por una alteración en la reabsorción del LCR en las vellosidades aracnoideas. Puede deberse a hemorragias subaracnoideas, meningitis, infecciones, traumatismos o procesos inflamatorios que afectan el sistema de drenaje del líquido.
Diagnóstico: Se realiza mediante evaluación clínica y estudios de imagen como tomografía computarizada (TAC) o resonancia magnética (RM), que muestran la dilatación ventricular. En algunos casos, se requieren estudios adicionales para identificar la causa subyacente.
Tratamiento: El tratamiento principal es quirúrgico, generalmente con la colocación de una derivación ventriculoperitoneal (válvula) para drenar el exceso de LCR. También puede utilizarse la ventriculostomía endoscópica en casos seleccionados.
FAQs:
- ¿Qué la diferencia de otros tipos de hidrocefalia? No hay bloqueo, pero sí problemas en la absorción del líquido.
- ¿Es peligrosa? Sí, puede aumentar la presión intracraneal si no se trata.
- ¿Qué síntomas presenta? Dolor de cabeza, náuseas, problemas de memoria o marcha.
- ¿Tiene tratamiento definitivo? Se controla con cirugía, pero requiere seguimiento continuo.